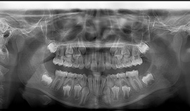
Radiografia Panorâmica
Técnica radiográfica que produz uma única imagem das estr...
Planigrafia de ATM
Técnica radiográfica que produz imagens nítidas de estrut...
Tomografia Computadorizada Cone-Beam dos Maxilares / Trauma / Patologias
Exame de alta precisão para aquisição das imagens dos oss...
Radiografia Periapical Convecional e Digital
imagem bi-dimensional com uma visão da anatomia dentária ...
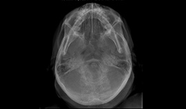
Radiografia Axial (HIRTZ)
Indicada para verificação prévia da inclinação do longo...
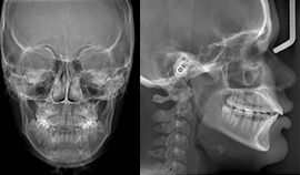
Telerradiografia lateral e frontal
É uma radiografia do crânio em que o paciente é posiciona...
Radiografias dos seios da face (P.A. E WATERS)
Radiografias realizadas para visualização da transparênci...
Radiografia da Mão e Punho com análise Carpal e idade Óssea
análise radiológica da estimativa da idade óssea....
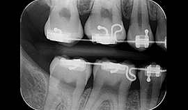
Radiografia interproximal
Técnica radiográfica Intrabucal, também chamada de "Bite-...
Radiografia oclusal
Técnica radiográfica intra-bucal geralmente indicada como ...
Métodos de localização
Auxílio na localização topográfica de patologias/dentes ...
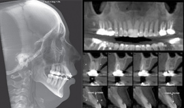
Tomografia Computadorizada PreXion 3D
Tomografia computadorizada de feixe cônico (CBCT) que repro...
Tomografia Computadorizada Cone-Beam para ATM
Melhor exame tomográfico para visualização de alteraçõe...
Tomografia computadorizada Cone-Beam para implantes
Exame realizado no Tomógrafo de feixe-cônico em posição ...
Tomografia computadorizada Cone-Beam para Endodontia / Periodontia / Ortodontia
Crescente indicação das Tomografias de Feixe-Cônico para ...
Dentalslice (BIOPARTS®)
Software fornecido juntamente com os exames computadorizados...
Planejamento Cirúrgico Virtual
Planejamento virtual de implantes e cirurgia ortognática e ...
Modelo 3D
Modelos Virtuais das arcadas dentárias em 3D....
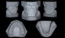
Modelos das arcadas dentárias
Modelos de gesso polidos ou simples, confeccionados a partir...
Analises Cefalométricas
Traçados computadorizados demarcados após a identificaçã...
Análises Faciais
Análise computadorizada realizada sobre as fotografias da f...
Lateral oblíqua da mandíbula
Utilizada para exame do ramo, ângulo e corpo mandibular;...
P.A. de mandíbula com boca aberta
Modificação da técnica radiográfica Frontal com visão o...

Odonto Scan reservou este espaço para que você Cirurgião-Dentista possa usufruir de algumas ferramentas de nossa empresa, visando facilitar a sua vida profissional e também registrar suas sugestões que sempre serão bem vindas. [Saiba mais]
Você sabe porque colocamos um colete antes da realização dos seus exames radiológicos?⠀
O colete é um item obrigatório para a realização dos exames [Leia mais]
Dra Rayane Magnol explica que a periodontite é fator de risco para agravamento da Covid-19
Acompanhe a entrevista no quadro Bate-Papo com o Dentista [Leia mais]